陳尹陽醫師|乳房外科臨床案例分享
乳房超音波追蹤:為什麼看起來小小一顆,也可能要切片?
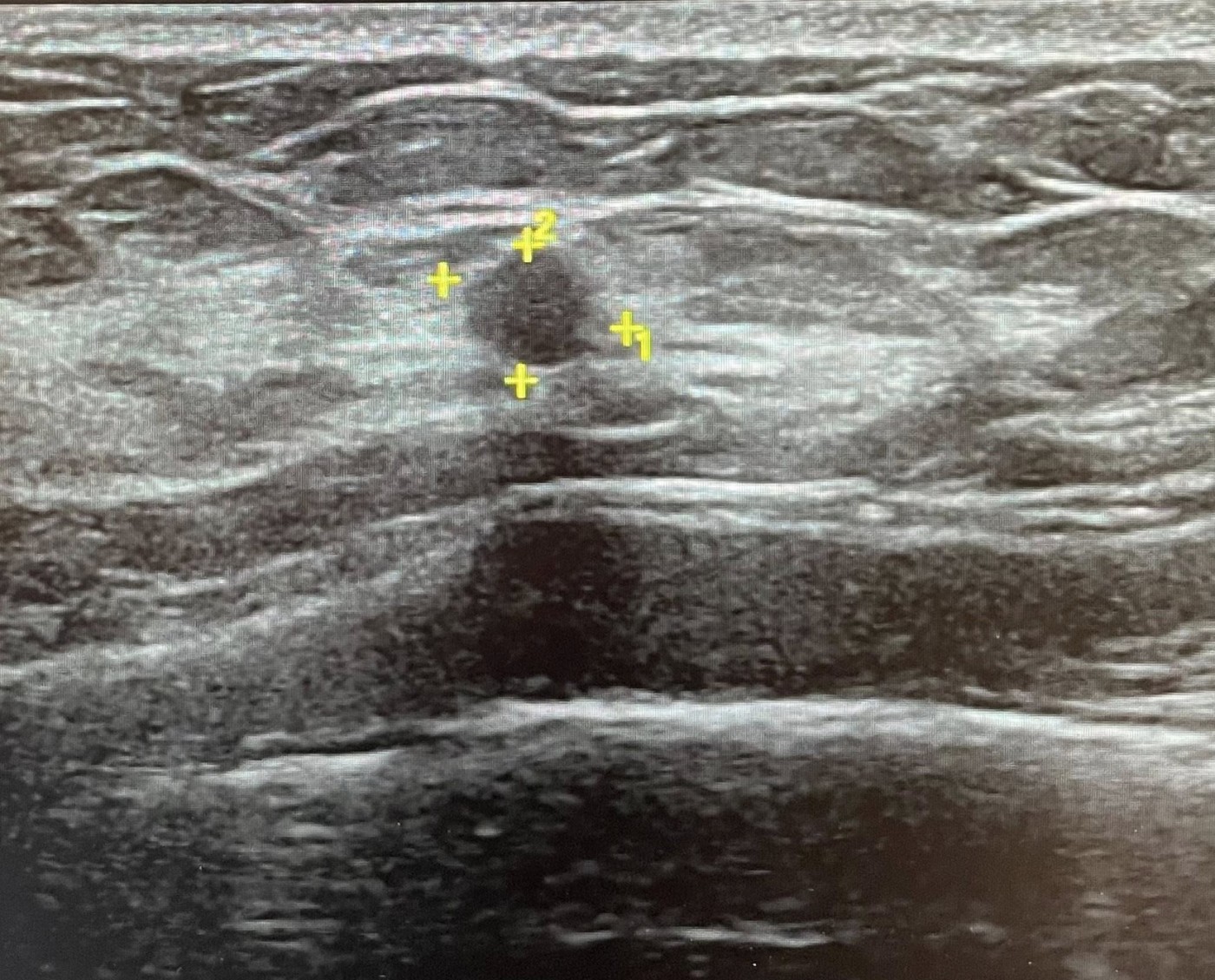
案例分享:0.3 公分的小腫瘤,半年後為什麼立即建議切片?
這位患者半年前在外院做乳房超音波,發現一顆 0.3 公分的小腫瘤。
當時外院建議她先半年追蹤。

半年後她轉到我門診追蹤,我重新檢視影像後,立刻注意到幾個變化:
大小幾乎沒變,但…

外觀卻「明顯不同」
- 形狀變得較不規則
- 結構出現非典型特徵
- 最關鍵的是:高大於寬(taller-than-wide)
當腫瘤的生長方向、形狀開始改變,就是需要切片確認的時機。
於是我立即與患者討論後,安排了超音波導引針吸或粗針切片(依個案決定)。
什麼情況下,乳房腫瘤需要「切片」?
以下是臨床最常見、也是最關鍵的指標:
必須切片的狀況
- 新發生的低回音腫瘤
- 形狀不規則、不典型邊界
- 高大於寬(taller-than-wide)
- 跟先前影像相比外觀改變
- 腫瘤 >1.0 公分且影像不典型
- 家族史+出現新腫瘤
- BI-RADS 4 以上的影像特徵
切片後若為良性,哪些情況仍然建議開刀?
即便病理結果良性,仍有幾類病灶建議手術切除:
建議手術切除的良性病灶
- 葉狀瘤(Phyllodes tumor)
因為部分會快速變大,且有惡化的可能。
- 不典型增生(ADH / ALH)
屬於癌前病變,需要完整切除。
- 大於 1.5–2 cm 的纖維腺瘤
尤其在年輕女性身上會影響外觀或造成不適。
- 持續變大的良性腫瘤(growing mass)
即便病理良性,動態變大也須切除。
- 影像與病理不符合(discordance)
影像看起來可疑,但切片卻報良性 → 需開刀確認。
切片後追蹤怎麼安排?
一般會依結果與影像符合度決定:
- 典型纖維腺瘤:6–12 個月追蹤一次
- 不典型增生、葉狀瘤切除後:依病理調整追蹤頻率
- 影像與病理不一致者:優先手術確認
追蹤的目的,是確保腫瘤沒有持續變化,讓風險保持在可控制範圍。
陳尹陽醫師提醒
「乳房腫瘤不是只有大小決定風險。形狀、方向與變化,才是超音波中最有價值的資訊。」
這位患者雖然腫瘤只有 0.3 公分,但外觀已經出現明顯變化。
能在正確的時間做正確的處置,是乳房外科最重要的任務。
